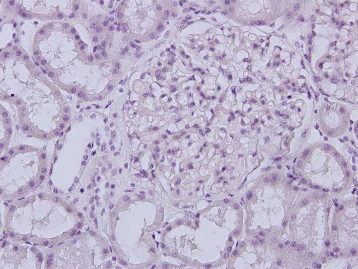
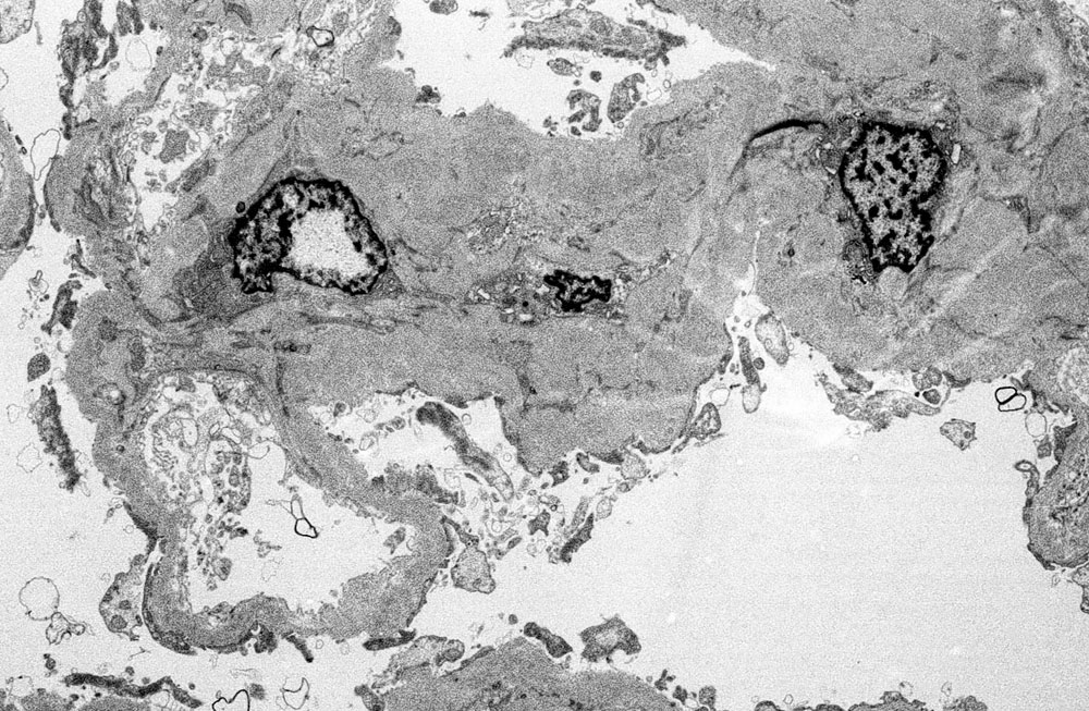
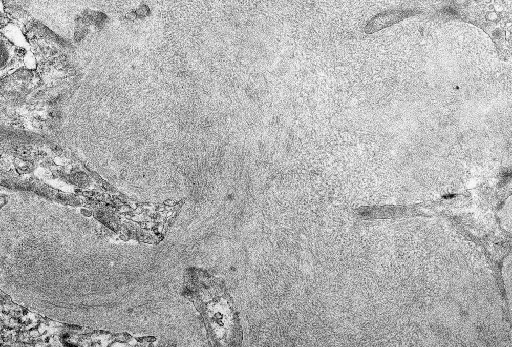
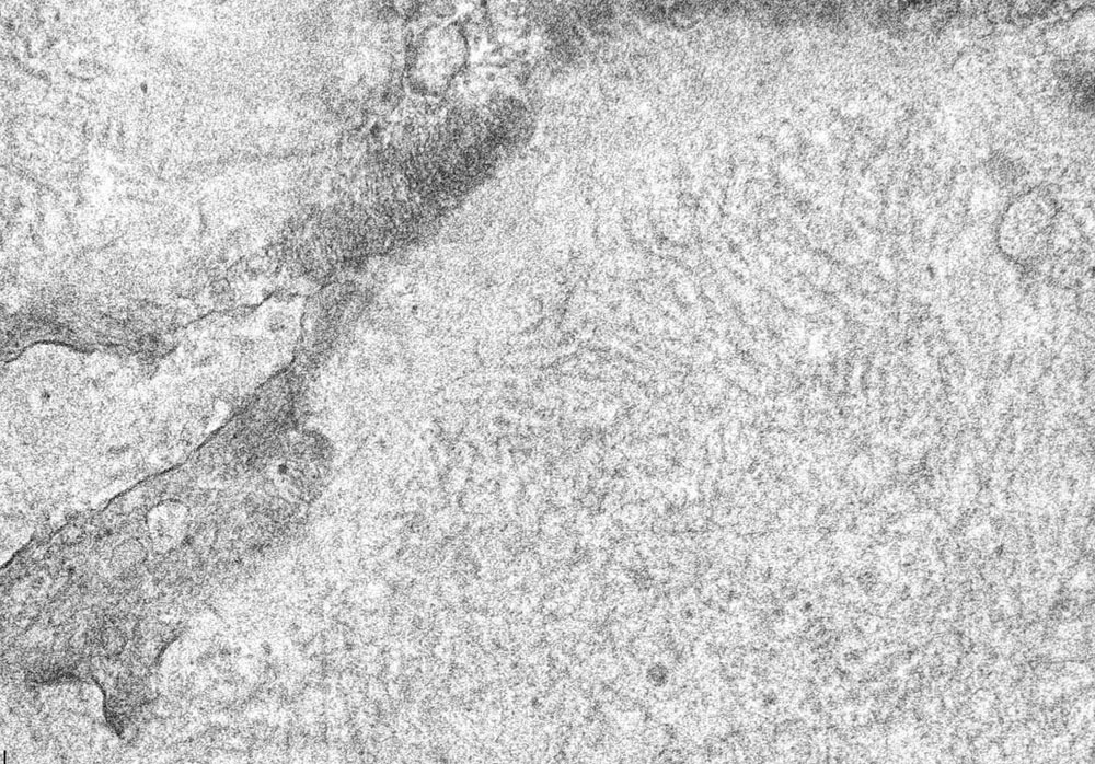
| Clinical data: | 53 year-old female
|
| Virtual microscopy: | (click on image to start virtual microscopy) |
| Additional stainings: | Congo red:
Immunofluorescence: IgG:
|
CONCLUSION |
|
| Literature: | Pubmed |
include('rightcol.inc'); ?>






